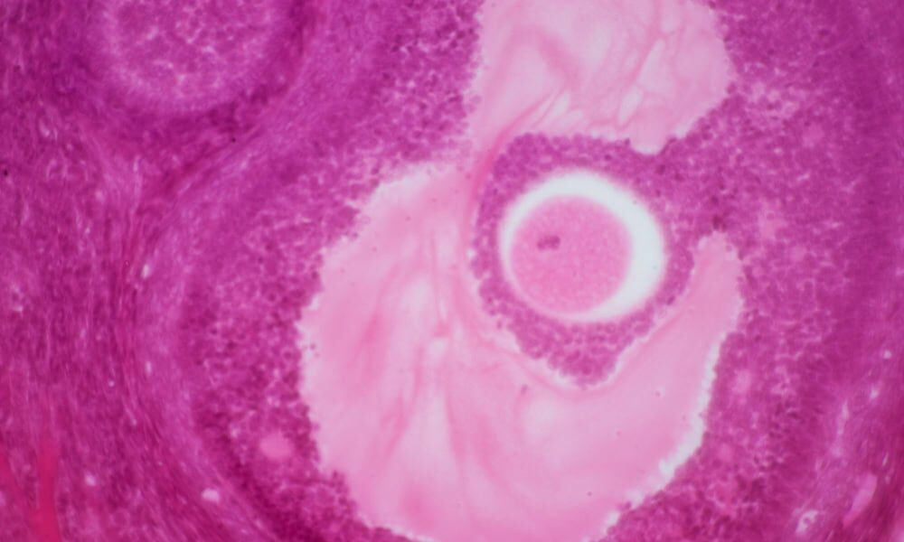
Για πρώτη φορά ένα ώριμο ανθρώπινο ωάριο αναπτύχθηκε στο εργαστήριο, ξεκινώντας από ένα τελείως ανώριμο στάδιο!
Σε προηγούμενες μελέτες οι επιστήμονες είχαν κάνει κάτι ανάλογο με εργαστηριακά ωάρια ποντικιών, που τελικά απέκτησαν υγιείς απογόνους. Είχαν, επίσης, δημιουργήσει ανθρώπινα εργαστηριακά ωάρια, αλλά ξεκινώντας από ωάρια που δεν βρίσκονταν στο πιο πρώιμο στάδιό τους.
Οι ερευνητές, με επικεφαλής την καθηγήτρια Έβελιν Τέλφερ της Σχολής Βιολογικών Επιστημών του Πανεπιστημίου του Εδιμβούργου, πήραν από ιστό ωοθήκης ωοκύτταρα στο πιο πρώιμο στάδιο της ανάπτυξής τους. Στη συνέχεια, τα καλλιέργησαν περαιτέρω στο εργαστήριο, ώστε να είναι ώριμα για γονιμοποίηση.
Ανοίγει ο “δρόμος” για βελτιωμένες θεραπείες γονιμότητας
Με την προαναφερόμενη διαδικασία μπορεί – μεταξύ άλλων – να διασφαλισθεί έγκαιρα στο μέλλον η γονιμότητα κοριτσιών με καρκίνο, τα οποία αργότερα θα υποβληθούν σε δυνητικά επιβλαβείς θεραπείες όπως η χημειοθεραπεία, που μπορεί να έχουν συνέπειες για τη γονιμότητά τους.
Συνήθως σήμερα, σε αυτές τις περιπτώσεις, αφαιρείται ένα τμήμα της ωοθήκης από τις καρκινοπαθείς και επανεμφυτεύεται αργότερα μετά τη χημειοθεραπεία, αλλά υπάρχει κίνδυνος αυτή η διαδικασία να πυροδοτήσει εκ νέου καρκίνο. Στη σχετική δημοσίευση στο περιοδικό “Molecular Human Reproduction”, οι ερευνητές εξηγούν ότι τα ανώριμα ωάρια θα είναι δυνατό, αφού συλλεχθούν από τη νεαρή ασθενή, να ωριμάσουν στο εργαστήριο και να αποθηκευθούν για μελλοντική χρήση, ώστε αυτή να μπορέσει να αποκτήσει παιδί.
Η ομάδα της Δρ Τέλφερ εργάζεται τώρα για να βελτιώσει την προαναφερόμενη διαδικασία στο εργαστήριο και στο αμέσως επόμενο στάδιο θα εξετάσει κατά πόσο τα ανθρώπινα εργαστηριακά ωάρια μπορούν να γονιμοποιηθούν.
Πηγή: amna.gr























Comments (0)